Nanopartículas magnéticas de metal, armas en la lucha contra el cáncer
Las nanopartículas de óxido de hierro se emplean para liberar fármacos de forma localizada en el organismo, eliminar células tumorales mediante la emisión de calor (hipertermia) o realizar diagnósticos en resonancias magnéticas.
Un equipo de investigadores del Centro Nacional de Biotecnología (CNB-CSIC) ha demostrado que la cobertura de las nanopartículas metálicas magnéticas es clave para lograr que estos vehículos sean eficaces en su objetivo: eliminar las células cancerígenas o realizar diagnósticos.
Desde hace tiempo ya, las nanopartículas metálicas magnéticas se usan con resultados prometedores.
En concreto, las nanopartículas de óxido de hierro se emplean para liberar fármacos de forma localizada en el organismo, eliminar células tumorales mediante la emisión de calor (hipertermia) o realizar diagnósticos en resonancias magnéticas.
Sin embargo, para usarlas con fines clínicos es necesario conocer cómo se comportan en el interior de las células, qué rutas intracelulares activan, y cómo se degradan, para determinar sus efectos terapéuticos y su posible toxicidad.
En ese contexto, un estudio liderado por investigadores del CSIC y publicado en la revista Biomaterials ha mostrado que la cobertura de estas nanopartículas determina cómo se mueven y cómo se degradan en el interior de las células y es decisiva para mejorar la eficacia de las nanopartículas.
LEE TAMBIÉN: Chicle sin azúcar puede reducir los nacimientos prematuros
Para usarlas en aplicaciones médicas, se suelen recubrir de diferentes tipos de moléculas y polímeros (macromoléculas) para hacerlas más biocompatibles, estables, biodegradables y para evitar que formen agregados que podrían generar trombos.
Según sea el recubrimiento, cuando las nanopartículas entran en contacto con el entorno biológico se producen diferentes interacciones con las proteínas del medio y eso afecta a su tamaño final, a la vía de captación celular, y el tránsito que siguen hasta su degradación en la maquinaria celular, apunta el líder del estudio, Domingo F. Barber, del CNB.
"El tipo de recubrimiento y el aumento de tamaño de la nanopartícula por su asociación con proteínas del medio biológico son esenciales para dictar las rutas de entrada celular y el tránsito intravesicular, así como en la velocidad de degradación celular", concluye Yadileiny Portilla, investigadora en el CNB-CSIC y primera autora del trabajo junto con Vladimir Mulens.
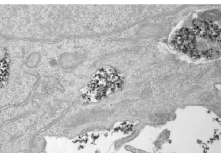
El estudio ha observado que en las células tumorales de modelos de ratón, las nanopartículas se acumulan en endolisosomas, donde se degradan más lentamente, mientras que en las células macrofágicas que envuelven al tumor, la degradación tiene lugar con más o menos rapidez, según sea el recubrimiento.
"Estos hallazgos son de vital importancia a la hora de diseñar las nanopartículas ya que podremos, en función de su futura aplicación, potenciar el efecto deseado dependiendo de la diana terapeútica", apunta la investigadora.
El uso de las nanopartículas de óxido de hierro está muy extendido en varios campos de la biomedicina, ya que podrían facilitar la liberación dirigida de fármacos y biomoléculas, su capacidad para producir calor se utiliza en el tratamiento de cáncer por hipertermia intracelular y además son capaces de generar contraste en diagnóstico en imágenes de resonancia magnética.
